超声检查对阑尾炎诊断的探讨
作者;张旭,刘青辉,柳新春,谭明华
【摘要】 目的 探讨超声对阑尾炎病变图像特征及诊断价值。方法 用低频探头3.5MHz检测阑尾区后,再改用高频探头7.5~10.0MHz反复扫描阑尾区。结果 40例阑尾炎患者,低频探头超声论断符合率为35%,而高频探头检测符合率为87.5%。结论 超声(尤其是高频探头)能较好的检测各型阑尾炎病变(除部分单纯性阑尾炎外),为临床手术提供了很好的依据。
【关键词】 阑尾炎;超声;诊断
Discusses the ultrasonic inspection to the appendicitis diagnosis
【Abstract】 Objective Ultrasonic images of appendicitis complications explore its characteristics and diagnostic value.Methods 3.5MHz detection using low frequency probe appendix zone before switching to HF repeatedly scanning probe with 7.5~10.0MHz on appendix area.Results 40 cases appendicitis patients,low frequency probe with 35% detective rate,and high frequency probe for the detection rate of 87.5%.Conclusion Ultrasonic (especially high frequency probe ) can better detect pathological changes of the type appendicitis (in addition,some simple appendicitis ),to provide a good basis for clinical surgery.
【Key words】 appendicitis;ultrasound;diagnosis
近年来,随着超声技术的进展,对过去因肠气干扰发现阑尾炎困难而造成的漏诊和误诊现已逐步得到了改善。尤其是使用高频探头以来,更能利用各型阑尾炎的声像特点,较准确的诊断阑尾炎,减少漏诊率。
1 资料与方法
1.1 一般资料 本文回顾性地采用了我院2004年5月~2006年2月曾由临床初步诊断怀疑阑尾炎或腹痛原因待查的患者50例,女11例,男39例,年龄15~58岁,平均年龄31岁。患者大多数为急症就诊。
1.2 检查方法 使用仪器EUB—2000,RTFL—V5,东大阿尔派ANF—1000型超声诊断仪,探头频率3.5~10.0MHz。检查时取仰卧位(极少数取侧卧位),先用低频探头探查右下腹有无肿块,腹腔有无游离液暗区及扩张的肠管,再改用高频探头探查阑尾区,并作多个切面扫查,测量肿大的阑尾长、宽、厚各径,壁的厚度、清晰度,内部回声及与周围邻近组织的关系,经病例追踪手术证实得出诊断符合率。
2 结果
2.1 超声诊断阑尾炎符合率 见表1,40例经临床手术病理证实各型阑尾炎,超声未发现异常者3例,右下腹仅见少量积液未见肿大阑尾及包块者2例,低频探头检出14例(35%),高频探头检出35例(87.5%),1例坏疽性阑尾炎误诊为化脓性阑尾炎,1例阑尾周围脓肿合并右侧附件炎。
2.2 声像图特征
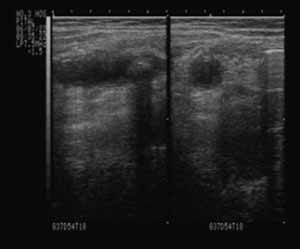
2.2.1 单纯性阑尾炎 壁较完整,连续性好,呈“双边影”,厚约0.15~0.2cm,体积相对较小,阑尾横径约在1.0cm左右,阑尾腔内低回声较均匀(如图1)。

图1
表1 低频、高频探头超声检查对阑尾炎诊断的符合率 例

2.2.2 化脓性阑尾炎 阑尾壁仍呈“双边影”,壁厚约0.2~0.6cm,横径>1.0cm,壁明显增厚,黏膜层回声不均匀,体积增大,长约10.0cm左右,腔内可见点状、带状强回声或后有粪石图像(如图2)。

图2
2.2.3 坏疽性阑尾炎(急性穿孔性) 阑尾明显肿大,壁增厚且层次不清,壁厚不一,阑尾周围液暗区明显,阑尾壁可见连续中断,横径≥1.5cm,常与化脓性阑尾炎不易区分。
2.2.4 阑尾周围脓肿 阑尾区呈低回声的夹有带状回声的混合性包块。且部分患者可在暗区中央发现已坏死的阑尾,呈不均匀的条索状强回声。
3 讨论
正常阑尾离体超声可见清晰的五层结构,各层次均匀,与胃肠超声检查类似[1]。由内向外依次为黏膜层(强回声)、黏膜肌层(低回声)、黏膜下层(强回声)、固有肌层(低回声)、浆膜层(强回声),然而正常人活体阑尾超声检查显示不清。正常阑尾位置差异大,另受肠管气体干扰,长5~9cm,直径0.5~0.7cm,管径很细,声像图多不能显示[2]。笔者曾对20例健康自愿检查者在右下腹用低、高频探头检查均未发现阑尾。阑尾病变时均有阑尾的增粗,内径扩大,壁增厚。所以利用高频探头能较好地看到肿大的阑尾及水肿呈“双边影”的阑尾壁。急性阑尾炎可分为:急性单纯性阑尾炎、急性化脓性阑尾炎、急性坏疽性阑尾炎[3],阑尾周围脓肿是急性阑尾炎主要的并发症[4]。单纯性阑尾炎时,阑尾轻度肿大,炎症局限于黏膜和黏膜下层,黏膜可有小溃疡或出血点,黏膜充血,故超声图像以黏膜增厚为主,阑尾呈管状或蚯蚓状,外径超过0.7cm[5],管壁回声增强,内部呈低回声,横断面呈同心圆样结构,无蠕动,多可见到盲端。部分单纯性阑尾炎因肠气干扰或者炎症初期轻度肿大,超声不能发现肿大阑尾,或仅在右髂窝肠间隙探及少量不规则液暗区,肠蠕动频繁,但临床症状典型,在排除右输尿管结石及盆腔病变的情况下,可提示非典型急性阑尾炎。因此,超声在阑尾区未发现异常声像并不能完全排除阑尾炎,而此时高频探头的使用尤其重要。急性化脓性阑尾炎时,由于炎细胞浸润,各层增厚较明显,浆膜高度充血,阑尾肿胀、增粗,外径在1.0cm以上[5],管腔扩张,内积脓,伴或不伴有粪石,阑尾周围有炎性渗出的液暗带,外周环绕强回声条带为包裹的大网膜或肠系膜。急性坏疽性阑尾炎由于各层壁坏死,炎性渗出,壁明显增厚,并且厚薄不一,层次不清,局部可穿孔,形成腹腔积液,阑尾肿胀更明显,外径可超过1.5cm,声像图与化脓性阑尾炎相似,有时难以区分。阑尾周围脓肿,低频探头、高频探头均易发现混合型包块,边界较清晰,形态不规则,包块位置固定,内无杵状阑尾结构或阑尾周围渗液过多可见管状阑尾结构。
值得注意的是由于高频探头穿透力的限制,对肥胖者检查不理想,此时可用低频探头扩大图像倍数来显示,探头加压也可以拉近与阑尾区的距离。阑尾为管状结构应与正常肠道回声、网膜回声相鉴别,肠道同样呈“双边影”,但有蠕动,且其远端与周围肠道相通无盲端,而网膜回声纵断面似为管状,但其横断面为非同心圆结构。阑尾的位置随盲肠而变异,如盲肠后位阑尾则由于肠气干扰显示很困难,对异位阑尾则需要扩大扫描范围。对于女性患者,右下腹发现混合性包块时鉴别诊断尤为重要,需排除异位妊娠、卵巢囊肿尤其是畸胎瘤蒂扭转、附件炎性包块等。总之,随着超声的进展,高频探头的使用根据阑尾炎的各型图像特征,其诊断准确率将不断取得完善和提高。
【】
1 Tio TL.Endoscopic ultrasonography of normal and pathologic upper gastrointestinal wall structure.Scand Gastroenterol,1986,21:27.
2 王纯正.超声学.北京:人民卫生出版社,1993,309.
3 秦茜淼,杨永明.急性阑尾炎的超声诊断.上海医学影像,2003,12(1):76.
4 吴恩惠,王新房,张青萍.中华影像医学之超声诊断学卷.北京:人民卫生出版社,2002,470.
5 徐智章.腹部超声诊断学.北京:出版社,2000,278.











