肺泡蛋白沉积症的多层CT表现及影像病理学对照研究
作者:覃杰,孟晓春,单鸿,刘凌云,张建生
【摘要】 目的 分析肺泡蛋白沉积症(pulmonary alveolar proteinosis,PAP)的多层CT表现特征。方法 回顾性研究我院2000年1月~2005年6月经病证实的6例PAP的多层CT表现,并与病理学改变相对照,探讨PAP的影像病理学联系及多层CT表现特征。结果 6例(100%)患者多层CT表现为双肺散在分布毛玻璃样高密度影,与周围组织分界清楚,呈地图样表现,病理学活检见肺泡腔内蛋白质样物质沉积,其中4例(66%)小叶间隔增厚,可见间隔水肿及淋巴细胞浸润,HRCT呈铺路石样表现。所有病例未见纵隔、肺门淋巴结肿大。结论 PAP的多层CT表现能够反映其病理学特征,边界清楚的毛玻璃样高密度影,呈地图样及铺路石样表现能高度提示PAP诊断。
【关键词】 肺泡蛋白沉积症;体层摄影术,X线机;病理学
Comparative study of multislice spiral CT findings and pathological results in patients with pulmonary alveolar proteinosis
【Abstract】 Objective To analyze the features of pulmonary alveolar proteinosis(PAP) in multislice spiral CT(MSCT) examinations.Methods The MSCT appearances of PAP in 6 patients proved by pathology were evaluated and compared with their pathological results.Results All the 6 patients with PAP presented ground-glass opacities with well-defined margins on MSCT'creating “geographic” pattern'reflected the effusion of proteinaceous material within the alveoli in PAP.Thickened interlobular septa'looking as the “crazy-paving”'was found in 4 cases in high-resolution CT(HRCT)'correspondence with edema and lymphocyte exudation in interlobular septa in pathological findings.No mediastinal and hilar adenopathy was found.Conclusion The characteristic appearances of PAP on MSCT correspond to its pathological features.The “crazy paving” sign in geographical areas of pulmonary opacification greatly suggests PAP diagnosis.
【Key words】 pulmonary alveolar proteinosis;tomography'X-ray computed; pathology
肺泡蛋白沉积症(pulmonary alveolar proteinosis'PAP)是一种罕见的肺部疾病,病因不明,临床表现以活动后气促、咳嗽、咳少量白色黏液痰为主,无特征性,极易误诊[1],诊断主要依赖于病理学检查。多层CT(MSCT)的问世,使单次屏气时间内完成高质量的全肺薄层扫描成为现实,极大提高了图像的时间和空间分辨率,胸部高分辨率CT(HRCT)还能清晰显示次级肺小叶为单位的肺内细微结构,极大提高了CT在肺部疾病诊断中的应用价值。本文收集经病理证实的6例PAP,综合国内外有关,探讨PAP的影像病理学联系及其多层CT表现特征,旨在提高对本病的认识和诊断。
1 资料与方法
1.1 一般资料 收集我院2000年1月~2005年6月经病理学证实的6例PAP患者作为研究对象。男4例,女2例,年龄25~55岁,平均42岁。病程7个月~10.3年,其中1例有粉尘接触史5年。临床症状包括:气促(6例)、咳嗽咳痰(5例)、胸痛(2例)、痰中带血丝(1例)及发热(1例)。体格检查:2例无明显阳性体征;4例出现双下肺湿啰音;杵状指1例;紫绀1例。
1.2 影像学检查 采用GE Lightspeed QX/I多层CT扫描机,常规行胸部CT平扫及增强扫描,范围自肺尖扫至肺底。扫描参数:层厚5mm,螺距6∶1,床速15mm/s,管电流210mA,管电压120kV。增强扫描所用对比剂为碘帕醇(300mgI/ml),经高压注射器给药,剂量80ml,注射流率2.5ml/s,给药开始后32s进行增强扫描。其中4例同时进行病变区HRCT扫描,扫描参数:管电流250mA,管电压120kV,层厚1.25mm,间隔1mm,骨算法重建。
1.3 组织病理学检查 6例患者均在多层CT检查后接受支气管肺泡灌洗(BAL)及经支气管肺活检(TBLB)'其中2例因TBLB未确诊再行经皮肺穿刺活检明确诊断。BAL液(BALF)沉淀物及活检肺组织行HE染色、过碘酸雪夫(PAS)染色及奥辛蓝(AB)染色,在光学显微镜下观察。
1.4 影像学评价 采用单盲法由从事影像诊断的教授1名,主治医师2名,分析6例患者的多层CT平扫及增强表现,以活检结果为对照,探讨PAP的影像病理学联系及其多层CT表现特征。
2 结果
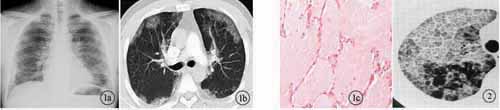
2.1 多层CT表现 本组共6例经病理学证实为PAP患者,其多层CT诊断结果分别为:特发性肺间质纤维化2例;浸润型肺结核1例;肺泡癌1例;肺炎1例;肺泡蛋白沉积症1例,诊断正确率17%。6例患者均见双肺散在分布的毛玻璃样高密度影,密度欠均匀,形态呈三角形、方形和多边形,少数呈圆形、弧形或线形,全部病灶边界清楚。其中4例可见部分病灶融合呈片块状。所有患者病变分布以肺门区及肺野外带为主,上下肺叶均可见到,在周围正常肺组织衬托下,呈地图样(geographic pattern)表现[2,3],见图1a、图1b。4例患者的HRCT图像还可见到在斑片状毛玻璃影中增多、增粗、紊乱的肺小叶间隔,呈铺路石样(crazy paving appearance)表现[4'5],见图2。病变与周围肺组织分界清楚,相邻肺组织未见明显异常表现。本组所有病例未见支气管气像,MSCT增强扫描均未见病灶强化以及纵隔或肺门淋巴结肿大征象。心脏大小形态在正常范围。
2.2 病理学表现 病理学发现此6例患者肺泡腔内充满大量粉红色云絮状、无定形蛋白样物质,见图1c。4例患者病变区内见小叶间隔水肿、增厚,可见淋巴细胞浸润。所有患者肺泡间隔无明显纤维组织增生以及肺泡结构未见破坏。全部病例肺灌洗均可见乳白色牛奶样混浊液,3例可见沉淀物。全部病例过碘酸雪夫(PAS)染色均为阳性,奥辛蓝(AB)染色均为阴性。

图1 患者,男,35岁。a:胸部后前位片,双肺内散在分布的不规则毛玻璃样高密度影,密度欠均匀,边界尚清;b:MSCT增强肺窗图像,双侧肺野外带及肺门区见三角形、方形或多边形毛玻璃样高密度影,密度欠均匀,边界清楚,在周围正常肺组织衬托下,呈地图样表现;c:右下肺穿刺活检标本病理玻片示肺泡内充满大量粉红色无定形蛋白样物质,肺泡结构正常,未见炎性细胞浸润(HE×100) 图2 患者,男,55岁。HRCT示右肺毛玻璃影中见增厚的小叶间隔,呈铺路石样表现
3 讨论
肺泡蛋白沉积症临床非常罕见,由Rosen等[6]于1958年首先报道,其病因及发病机制至今仍不清楚,目前认为与肺泡表面物质代谢异常或肺泡巨噬细胞的清除异常有关,部分患者还可能与粉尘或某些化学物质吸入所致的特异性反应有关,也可能与自身免疫机制障碍、血液和淋巴系的恶性肿瘤以及细胞毒性药物的应用有关[4'7'8]。本病好发于30~50岁成人,偶见于儿童及老年患者,男性多于女性。多数患者起病隐袭,临床表现无特征性,常见症状为活动后气促、咳嗽、咳少量白色黏液痰,亦可为干咳无痰。低热、乏力、胸痛、咯血者少见,部分病例可咯出小块胶冻样物质。部分患者体格检查可闻及少许肺底部湿啰音,约1/5患者出现杵状指,重者可致发绀。患者预后差异大,部分可自行缓解,复发常见,约1/3患者因呼吸衰竭或合并感染而死亡。
3.1 影像与病联系 肺泡腔内充满大量粉红色云絮状或细颗粒状无定形蛋白质样物质为PAP的主要病理改变,而肺泡壁、支气管壁和胸膜病变不明显。病变区与相邻正常肺组织界限清楚,肺泡结构保持完整,肺泡间隔多数正常,少数可因间隔水肿及淋巴细胞浸润而增厚[8]。病变的不同阶段,肺泡蛋白沉积症出现不同的影像学征象。当病变仅累及肺泡腔,以蛋白质样物质充填肺泡腔为主,而肺泡间隔无水肿及炎症细胞渗出时,CT检查可见肺野内毛玻璃样斑片状高密度影,病变与周围正常肺组织形成明显分界,在肺野中呈地图样表现[2'3]。本组所有患者均可见此征象。其形成机制尚不明确,可能与病变分布以肺小叶为单位,小叶间隔在一定程度上限制了病变蔓延有关。根据,即使做过肺灌洗的患者,其剩余的肺实变仍然边界清楚[5]。MSCT增强扫描病灶未见强化,说明病灶缺乏血供及无肉芽组织形成。当病变累及小叶间隔,小叶间隔因水肿及炎症细胞浸润而增厚时,HRCT上可见实变区出现增厚的小叶间隔,围绕实变的肺小叶形成铺路石样表现,具有一定的特征性[4'5]。本组4例患者见此征象。HRCT能够清楚地显示PAP患者的次级肺小叶结构,发现胸部X线平片及常规CT所不能发现的PAP患者肺小叶及小叶间隔病变,从而更好地评定病变范围及严重程度,具有重要价值。本组中HRCT图像显示PAP患者增粗的肺纹理符合小叶间隔走行,与肺部纤维化表现不同,病理学上PAP患者的小叶间隔也无纤维化改变发生。PAP病变分布以双肺多见,可仅累及一侧[9],肺野中央及外周均可发生,上下肺分布无明显差异[3'9'10]。文献报道当实变肺泡与含气肺泡混杂并存时,还可见到实变阴影内出现蜂窝状透光区,但是支气管气像不多见[9]。本组病例中均未见。肺泡蛋白沉积症为非感染病变,部分学者认为本病不伴有纵隔、肺门淋巴结肿大,若出现明显淋巴结肿大则多数与感染有关[11]。本组所有病例均未见到纵隔、肺门淋巴结肿大。
3.2 诊断及鉴别诊断 本病临床表现缺乏特征,胸部影像学检查不可缺少。胸部X线以两肺弥漫性云雾状、结节状、斑片状病变为主,缺乏特征性,常规CT扫描肺内病变呈地图样表现,HRCT可见病变内肺小叶间隔增厚呈铺路石样表现,无明显淋巴结肿大征象,无心影增大、胸腔积液等。通常患者临床症状轻于影像表现,实验室检查以血氧饱和度降低为主,病程变化缓慢,抗生素、激素无效,出现此类患者用常见病、多发病不能解释时,应考虑PAP,最终确诊仍需依赖支气管肺泡灌洗及肺活检。本组病例正确诊断PAP 1例,误诊5例,分析其原因可能主要为对PAP及其影像学特征认识不足。PAP易误诊,应与下列疾病相鉴别:(1)特发性肺间质纤维化,临床及影像学表现与PAP相似'本组误诊2例。其以小叶间质呈网格状增厚,围绕含气的肺组织呈蜂窝状改变为特征,病灶与正常肺组织界限不清'在胸膜下区见与胸壁垂直线状影或弓形线。(2)弥漫型肺泡癌,肺内病变密度较高,边界清楚,向小叶外侵犯并出现分叶征象,随访观察病灶融合增大呈团块状,纵隔肺门淋巴结肿大常见,可与PAP鉴别。(3)常规X线检查各种原因引起的肺出血,可与PAP表现相似,但无地图样或铺路石样表现,可短期内明显吸收'鉴别诊断难度不大。(4)肺泡性肺水肿,患者均有心衰病史,影像检查可见心影增大、Kerley B线、胸腔积液等相关征象,肺部表现以双侧肺野内带的蝶翼状模糊影为特征,临床表现及特征为诊断的重要依据。(5)小叶性肺炎,表现为沿支气管分布的斑片状模糊影,与正常组织分界不清,临床上伴有咳嗽、咳痰、发热症状,抗炎治疗后可明显吸收。
总之,对于肺部弥漫性病变,CT表现为地图样及铺路石样时,高度提示PAP诊断。胸部CT扫描特别是HRCT能提高对PAP的早期正确诊断。
【文献】
1 唐震'周仲佑'夏俊'等.肺泡蛋白沉积症X线表现及误诊分析.误诊学杂志,2001'1(12):1127-1128.
2 Zontsich T'Helbich TH'Wojnarovsky C'et al.Pulmonary alveolar proteinosis in a child:HRCT findings before and after bronchoalveolar lavage.Eur Radiol'1998'8(9):1680 -1682.
3 Lee KN'Levin DL'Webb WR'et al.Pulmonary alveolar proteinosis:high resolution CT'chest radiographic'and functional correlations.Chest'1997'111:989-995.
4 Godwin JD'Muller NL'Takasugi JE.Pulmonary alveolar proteinosis:CT fidings.Radiology'1988'169:609.
5 Murayama S'Murakami J'Yabuuchi H'et al.“Crazy paving appearance” on high resolution CT in various diseases.J Comput Assist Tomogr'1999'23 (5):749-752.
6 Rosen SH'Castleman B'Liebow AA'et al.Pulmonary alveolar proteinosis.N Eng J Med'1958'258:1123.
7 Claypool WD'Rongers RM'Matuschak GM'et al.Up-date on the clinical diagnosis'management'and pathogenesis of pulmonary alveolar proteinosis phospholipidosis .Chest'1984'85:550.
8 Singh G'Katyal SE'Bedrossian CW'et al.Pulmonary alveolar proteinosis: Staining for surfactant apoprotein in alveolar proteinosis and in conditions simulating it.Chest'1983'83:82-86.
9 Goldstein LS'Kavuru MS'Curtis-McCarthy P'et al.Pulmonary alveolar proteinosis:clinical features and outcomes.Chest'1998'114:1357-1362.
10 Shah PL'Hansell D'Lawson PR'et al.Pulmonary alveolar proteinosis:clinical aspects and current concepts on pathogenesis.Thorax'2000'55:67-77.
11 赵锡立'冯健'王和平.肺泡蛋白沉积症的平片与CT表现.中国临床医学影像杂志'2001'12:210-222.











