排螺旋CT低剂量与常规剂量扫描发现肺结节的比较研究
作者:宋伟 金征宇 严洪珍 王沄 张云庆 王林辉 朱海峰 梁继祥 齐兵
【摘要】 目的 选择16排螺旋CT低剂量扫描的适宜扫描参数,初步探讨低剂量扫描发现肺结节的敏感性。方法 A组24例患者行16排螺旋CT常规剂量(SD)与低剂量(LD1)扫描,B组25例患者行常规剂量与低剂量(LD2)扫描。CT扫描机采用Simens16排多层螺旋CT(Sensation 16)。常规剂量扫描采用预设120emAs、床进24mm/圈(即螺距1),LD1扫描采用预设20emAs、床进24mm/圈(即螺距1),LD2扫描采用预设20emAs、床进36mm/圈(即螺距1.5),其他扫描参数相同:120kV,0.5s/圈,准直1.5mm×16,重建层厚4mm,重建间隔与层厚4mm。根据图像出现伪影程度以及是否影响观察肺结节来评价CT低剂量扫描图像质量。将直径≤10mm非钙化肺结节分为直径<5mm,5~10mm二组,按肯定(是肺结节且显示清晰)、模糊(是肺结节但显示模糊)、难以判定(邻近血管且与血管断面的直径相近,难以区分是肺结节还是血管断面)、未见(未发现肺结节)等标准对肺结节进行判断并计数数目,然后比较低剂量与常规剂量CT扫描发现肺结节的一致性。结果 LD1实际扫描时的emAs和CTDIw均值和LD2相似,但LD2比LD1扫描时间短。45例CT低剂量扫描图像无伪影出现,4例出现少量伪影,但不影响观察小结节。只“肯定”肺结节,LD1、LD2扫描发现<5mm肺结节的敏感性、特异性、准确性分别为86.2%、93.0%、88.1%和87.0%、91.2%、87.9%;若将“模糊”肺结节也算入,则LD1、LD2扫描发现<5mm肺结节的敏感性、准确度上升,特异性下降。检验A组、B组发现<5mm、≤10mm的非钙化肺结节一致性的Kappa值分别为0.619、0.636和0.633、0.667。结论 低剂量扫描与常规剂量扫描发现<5mm、≤10mm的非钙化肺结节具有较好的一致性;采用LD2扫描参数(床进36mm)更佳。
【关键词】 低剂量 常规剂量 体层摄影术 X线计算机 肺结节
Comparison of lowdose and standarddose 16 slices helical CT in the detection of pulmonary nodules
【Abstract】 Objective To investigate the sensitivity of low-dose 16 slices helical CT in the detection of the pulmonary nodules,and to choose the better protocol of low-dose 16 slices helical CT.Methods 24 patients in group A underwent CT examinations at low-dose Ⅰ(120kV,preparatory 20emAs,rot (rotatory) time 0.5sec,collimation 1.5mm,feed/rot 24mm,recon (reonstruction) slice 4mm,recon incre 4mm),25 patients in group B underwent CT examinations at low-doseⅡ(120kV,preparatory 20emAs,0.5sec/rot,collimation 1.5mm,feed/rot 36mm,recon slice 4mm,recon incre 4mm),and all patients in group A and B underwent CT examinations at standard-dose (120kV,preparatory 120emAs,0.5sec/rot,collimation 1.5mm,feed/rot 24mm,recon slice 4mm,recon incre 4mm) too. Image quality of low-dose CT was assessed by image artifact interfering with nodule detection. According to the size of the nodules categorized as <5mm,5~10mm and the manifestation of the nodules categorized as definite,faint,difficult,and unseen,the number of nodules detected at each protocol was recorded. The sensitivity of low-dose CT in the detection of pulmonary nodules and the coincidence of the detection of pulmonary nodules between low-dose and standard-dose CT was calculated by comparing the number of noncalcified pulmonary nodules detected at low-dose and standard-dose CT.Results The mean of the actual emAs and CTDIw of low-dose Ⅰ and low-dose Ⅱ CT was similar. Image quality of low-dose CT in 45 patients were well,slight image artifact seen in 4 patients did not interfere with nodule detection. The sensitivity,specificity,and accuracy of low-dose Ⅰ and low-dose Ⅱ CT were 86.2%,93.0%,88.1% and 87.0%,91.2%,87.9% for definite nodules <5mm. The Kappa value of group A and B were 0.619,and 0.633 for nodules <5mm,and 0.636,and 0.667 for nodules ≤10mm.Conclusion The coincidence of the detection of pulmonary nodules between low-dose and standard-dose CT were better. We prefer the protocol of LDCT Ⅱ.
【Key words】 lowdose standarddose tomography,X-ray computed lung nodule
中晚期肺癌5年生存率很低,既往研究表明通过胸像及痰细胞学检查筛查肺癌并没有明显降低肺癌病死率[1]。最近国外正在开展CT低剂量扫描筛查肺癌的相关研究,但关于多排螺旋CT低剂量扫描的研究报道较少。我们通过49例16排螺旋CT常规剂量(standard-dose,SD)和低剂量(low-dose,LD)扫描发现肺结节的比较研究,旨在了解16排螺旋CT低剂量扫描发现肺结节的敏感性,并选出合适的低剂量扫描参数,为低剂量CT筛查肺癌在国内临床应用提供更充分的信息。
1 资料与方法
1.1 一般资料 我们将49 例肺多发结节的患者随机分为A、B两组,A组的24例患者,男8例,女16例,年龄24~73岁,平均年龄45.2岁,进行SD与低剂量(LD1)扫描;B组的25例患者,男9例,女16例,年龄21~88岁,平均年龄47.3岁,进行SD与低剂量(LD2)扫描。
1.2 方法 CT扫描机为Siemens 16排多层螺旋CT(Sensation 16)。采取仰卧位,头先进。SD与LD1、LD2扫描相同的参数为:120kV,0.5s/圈,准直1.5mm×16,重建层厚与间隔4mm;不同的扫描参数见表1。所有SD与LD扫描图像肺窗、纵隔窗的窗宽/窗位分别是:1400Hu/-(700~600)Hu、400Hu/40Hu。
表1 16排多层螺旋SDCT与LDCT扫描的不同参数

注:*有效管电流量:为预设定值。#CT放射剂量加权指数:为预测定值,单位为mGy
1.3 评价标准
1.3.1 LDCT图像质量评价标准 (1)优秀:无伪影出现。(2)良好:在肺尖和/或肺底出现不影响观察肺结节的少量伪影。(3)不佳:出现明显伪影,影响观察肺结节。
1.3.2 肺结节的诊断标准 (1)肺结节定义为:肺内圆形或类圆形的局灶性密度增高影,其长宽径之比小于2。(2)将纵隔窗显示有钙化的肺结节和直径大于10mm的非钙化肺结节排除。(3)将非钙化肺结节按直径<5mm,5~10mm分为二组,每组肺结节又分为肯定(是肺结节且显示清晰)、模糊(是肺结节但显示模糊)、难以判定(邻近血管且与血管断面的直径相近,难以区分是肺结节还是血管断面)、未见(未发现肺结节)。
两位有经验的胸部放射诊断医师在进行诊断标准一致性训练后,在显示器上选用四分野同时观察SD与LD扫描二个序列相应层面的肺窗、纵隔窗图像,对观察到的肺结节,按照肺结节评价标准进行判断并计数肺结节数目。对有争议的肺结节,请第三位放射诊断医师进行观察,取多数人意见。
1.3.3 统计学方法 采用Kappa检验,检验SD与LDCT扫描发现非钙化肺结节的一致性。用SPSS软件包进行统计学处理。以SD扫描发现非钙化肺结节作为标准,分别计算LD1、LD2扫描发现的肺结节的敏感性、特异性和准确度。
2 结果
2.1 实际扫描参数与放射剂量 49 例SD与24例LD1、25例LD2扫描时,实际的有效管电流量(emAs)、实际的管电流(mA)与实际的CT放射剂量加权指数(computed tomography dose index weighted,CTDI w)以预设定值为参照,根据患者的不同情况在一定范围内进行了调整(表2)。SD扫描的CTDI w约为低剂量(LD1、LD2)扫描的6倍,LD1扫描的CTDI w略高于LD2扫描。
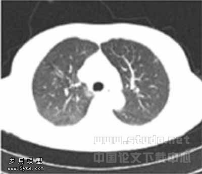
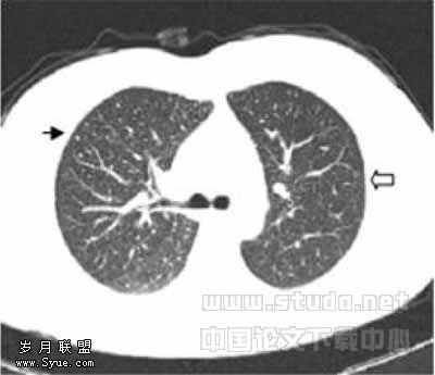
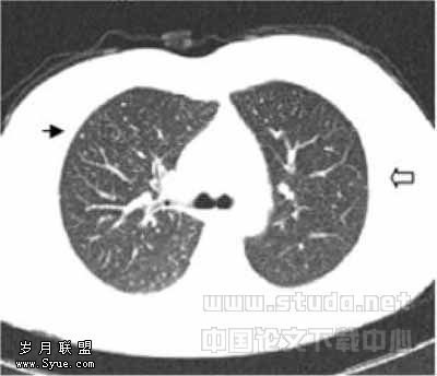
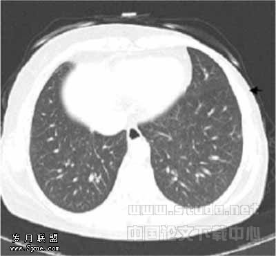
49例图像中,LD1与LD2扫描各有2例图像质量为良好(图1,2),其余均为优秀(图3,4),1例LD扫描图像比SD扫描图像清晰,原因是LD扫描时患者吸气充分而SD扫描时患者吸气不足。
表2 常规剂量与低剂量扫描的实际扫描参数与CTDIw

A组有3例、B组有5例未进行肺结节的比较研究,原因是:这8例胸部CT未见肺结节或表现为多发斑片、多发结节融合,影响对肺小结节的计数。
2.2 SD与LD扫描发现的肺结节 (1)A组观察了94个层面图像,B组观察了117个层面图像。A组、B组发现的肺结节数见表3,4。经Kappa检验,SD与LD1扫描、SD与LD2扫描发现<5mm、≤10mm的肺结节均有较好的一致性。SD与LD1、SD与LD2扫描发现≤10mm肺结节比发现<5mm的肺结节的一致性好。(2)LD扫描发现肺结节的敏感性、特异性和准确度,仅统计“肯定”肺结节(SD扫描A组的442个<5mm、468个≤10mm结节,B组的414个<5mm、489个≤10mm结节),计算出LD1、LD2扫描发现<5mm、≤10mm的非钙化肺结节的敏感性、特异性和准确度均较高(表5)。若将“模糊”肺结节也计算在内(SD扫描A组的81个<5mm、83个≤10mm“模糊”结节,B组的51个<5mm、53个≤10mm“模糊”结节),则LD1、LD2扫描发现非钙化肺结节的敏感性、准确度较前者增高,但特异性明显下降(表6)。
表3 A组(SD与LD1)扫描发现肺结节的比较
表4 B组(SD与LD2)扫描发现肺结节的比较

表5 LD扫描发现“肯定”肺结节的敏感性、特异性、准确度

表6 LD扫描发现“肯定”、“模糊”肺结节的
敏感性、特异性、准确度

3 讨论
肺癌是目前世界上高发病率、高病死率的恶性肿瘤之一。患者出现临床症状才被发现的肺癌多数为中晚期,只有15%~25%是Ⅰa期,5年生存率只有12%~15%[1,2]。而Ⅰ期(Ⅰa,Ⅰb)肺癌的手术切除后的5年生存率是60%~70%[1~3]。可见,肺癌的早期发现、早期诊断和早期是降低肺癌病死率,提高肺癌长期生存率的唯一途径。
由于受胸内、胸外正常结构(如骨、肺门血管、心脏等)的影响,胸像筛查可能误漏诊肺癌[4]。胸像发现小肿瘤的敏感性不够被推测为通过胸像和痰细胞学检查筛查肺癌没有显著降低肺癌的病死率的主要原因之一。Ketai等[5]报道在CT显示的小于1cm的肺结节中,有近半数在胸像上未见,CT发现小的非钙化肺结节的能力明显强于胸像。因此CT筛查肺癌可能促进发现小肺癌、早期肺癌,但常规CT由于放射剂量大,不符合体检筛查要求。
由于空气与肺病变有高对比,故降低放射剂量仍可能获得良好的胸部CT图像。管电压、管电流、扫描时间、螺距、层厚、扫描容积等都影响CT放射剂量。目前多通过减少管电流来降低CT放射剂量,单排螺旋CT的LD扫描管电流多为25~50mA[6~9]。单排螺旋CT扫描参数采用120kV,50mAs,螺距2,准直5mm时,平均有效放射剂量接近3~5次胸像[6]。4排螺旋CT采用120kV,40mA,螺距1.5,床进30mm,有效放射剂量为0.65mSv[7]。扫描参数与患者的肥胖程度都影响LDCT图像质量,受CT扫描机的设计限制,目前多数LDCT采用固定的扫描参数,肥胖患者的CT图像会出现伪影并影响诊断,故根据患者的肥胖程度自动选取CT扫描参数,即采用患者-特异性扫描参数,以最小的放射剂量获取良好的图像是将来的方向[10]。本文使用的Siemens 16排多层螺旋CT(Sensation 16)所具有的CARE Dose技术在一定程度上具有上述功能:在实际扫描时,针对不同患者在一定范围的调整预设的emAs,同时预测CTDI w也随之变化。另外本文中LD1(床进24mm)的实际的emAs和CTDI w均值与LD2(床进36mm)相近且略大于LD2(床进36mm),但LD1实际的mA均值明显小于 LD2。受CARE Dose技术影响,虽然管电流(mA) 随着螺距增大会明显增大,但与CTDI w大小有关的emAs却变化不大。
结节的大小、CT扫描参数、图像噪音等影响CT发现肺结节的因素中,以结节大小最重要[11]。Schweden等[12]的研究表明:单排螺旋CT的LD (30mA)与SD (200mA)扫描发现肺结节具有较好的一致性,分歧多数发生在邻近血管的肺结节。Diederich等[13]指出单排螺旋CT的SD与LD扫描发现直径≤5mm、6~10mm、>10mm肺结节的数量无统计学差异;如果LDCT放射剂量太低(25mA,螺距2),图像可能出现伪影,干扰≤5mm肺结节的观察。本文LD与SD扫描发现肺结节均具有较好的一致性,差异主要发生在<5mm的小结节:部分SDCT可见的肯定或模糊的小结节,LDCT显示模糊或未见到(图3,4);部分LDCT显示肯定或模糊的小结节,在SDCT显示模糊或未见到(图5,6);LDCT显示粟粒结节或密度较淡的小结节不如SDCT。另外本文中组的Kappa值略低于B组,但LD1扫描的实际emAs均值却略高于LD2,这与随着emAs降低,图像噪声将增加,影响发现肺小病变的理论不符。我们重新查阅原始资料,发现A组直径<5mm肺结节中粟粒结节和密度较淡的小结节明显多于B组,这可能是造成A组Kappa值略低于B组的原因。Karabulut等[11]研究指出SDCT与LDCT在发现肺结节数量上无显著差异,LDCT发现<5mm肺结节的敏感性为88.1%,发现≥5mm肺结节的敏感性为97.4%,发现肺结节的总敏感性为92.5%。本文结果与报道相符,本文将“模糊”肺结节也算入后,LD扫描发现肺结节敏感性、准确度较只“肯定”肺结节的升高,但特异性明显降低,可见LDCT扫描时注意对“模糊”的肺结节的诊断观察,会导致误诊增加,却能有效减少漏诊肺结节。
就Sensation 16而言,LD扫描选用120kV,准直 1.5mm,0.5s/圈,重建层厚与间隔4mm,预设 20emAs,床进24mm或36mm扫描,CT图像质量好、发现肺结节敏感性高,但螺距1.5(床进36mm)比螺距1(床进24mm)的扫描时间短,故选择螺距1.5(床进36mm)扫描更适宜;LD扫描发现肺结节的敏感性较高,可用于肺结节随诊、筛查肺癌。




图1,2分别为同一层面的常规剂量与低剂量CT,可见少量伪影,不影响观察肺结节图3,4分别为同一层面的常规剂量与低剂量CT图像,示未见伪影图3示小于5mm肯定肺结节(→?)和模糊肺结节(←?),图4分别显示为肯定(→?)、未见(←?)


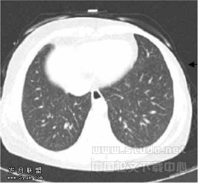
图5 常规剂量CT显示左肺小于5mm模糊小结节(→?),
图6 同一层面的低剂量CT示为肯定肺结节(→?)
【文献】
1 Makitaro R,Paakko P,Huhti E,et al. Prospective population-based study on the survival of patients with lung cancer. Eur Respir J,2002,19(6):1087-1092.
2 Greenlee RT,Murray T,Bolden S,et al. Cancer statistics,2000. CA Cancer J Clin,2000,50:7-33.
3 Padilla J,Calvo V,Pen alver JC,et al. Survival and risk model for stage ⅠB non-small cell lung caner. Lung Cancer,2002,36:43-48.
4 Monnier-Cholley L,Arrivé L, Porcel A,et al. Characteristics of missed lung cancer on chest radiographs: a French experience. Eur Radiol,2001,11:597-605.
5 Ketai L,Malby M,Jordan K,et al. Small nodules detected on chest radiography. Chest,2000,118:610-614.
6 Diederich S,Wormanns D,Semik M,et al. Screening for early lung cancer with low-dose spiral CT: prevalence in 817 asymptomatic smokers. Radiology,2002,222:773-781.
7 Swensen SJ,Jett JR,Hartman TE,et al . Lung cancer screening with CT: Mayo Clinic experience. Radiology,2003,226:756-761.
8 Nawa T,Nakagawa T,Kusano S,et al. Lung cancer screening using low-dose spiral CT. Chest,2002,122:15-20.
9 Li F,Sone S,Abe H,et al. Lung cancers missed at low-dose helical CT screening in a general population: comparison of clinical,histopathologic,and imaging findings. Radiology,2002,225:673-683.
10 Starck G,lonn L, Cederblad A,et al.A method to obtain the same levels of CT image noise for patients of various sizes,to minimize radiation dose. BJR,2002,75:140-150.
11 Karabulut N,Torü M,Gelebek V,et al. Comparison of low-dose and standard-dose helical CT in the evaluation of pulmonary nodules. Eur Radiol,2002,12(11):2764-2769.
12 Gartenschlager M,Schweden F,Gast K,et al. Pulmonary nodules : detection with low-dose vs conventional-dose spiral CT. Eur Radiol,1998,8(4):609-614.
13 Diederich S,Lenzen H,Windmann R,et al. Pulmonary nodules: experimental and clinical studies at low-dose CT. Radiology,1999,213:289-298.











